Designed for live cell imaging with 120-nanometer resolution, the Olympus IXplore SpinSR10 super resolution imaging system balances speed, resolution, and efficiency in a single, flexible platform. Researchers can observe the fine details and workings of internal cellular structures at resolutions beyond the limit of conventional microscopes with the ability to easily switch between super resolution, confocal, and widefield imaging. The system's advanced confocal technology enables researchers to capture super resolution images with excellent clarity.
Higher Level of Super Resolution
Olympus Super Resolution
Olympus super resolution (OSR) technology is fast, easy to use, and can provide images from up to 100 microns deep within a cell in areas that are hard to access using other super resolution modes. Live cell super resolution images of internal cellular structures can be captured with 120 nm resolution from all kinds of samples using conventional fluorescent dyes.
(Hayashi S. Resolution doubling using confocal microscopy via analogy with structured illumination microscopy. Jpn J Appl Phys. 2016)


Sharp Super Resolution Images
Olympus' deconvolution algorithm works with super resolution images to create clear, sharp 3D images.


Live Cell Super Resolution Imaging
The IXplore SpinSR10 system combines speed, reduced phototoxicity, and stability during time-lapse experiments to create 3D super resolution data that enables users to observe dynamic changes and phenomena within live cells.
Super Resolution for Living Samples
The spinning disk confocal optical system acquires images up to 200 frames per second, capturing fast intracellular dynamics within live specimens.

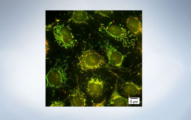
Image of mitochondria obtained at 30 fps
Mitochondria labeled by GFP. Acquired with 30fps, able to see the individual mitochondria movements.
Image data courtesy of: Kumiko Hayashi, Ph.D.,Graduate School of Engineering,Tohoku University
Two-Color Simultaneous Imaging
The SpinSR10 system can use two cameras simultaneously to provide fast, two-color localization imaging.

Mitotic spindle at metapahse cell. HeLa cells derived from human cervical cancer were fixed and stained for α-tublin(microtubules,red) and Hec1(kinetochores, green),respectively. DNA was stained with DAPI (chromosomes,blue):
Chromosomes interact with microtubules constituting mitotic spindle via kinetochores assembled on centromere region of chromosomes.
Image data courtesy of: Masanori Ikeda and Kozo Tanaka, Department of molecular oncology,Institute of Development, Aging and Cancer

Stereocilia and kinocilia of inner hair cells in the organ of Corti. (Actin:Orange, Tubulin:Green):
Image data courtesy of: Hatsuho Kanoh1, Toru Kamitani1,2, Hirofumi Sakaguchi2, Sachiko Tsukita1
1Graduate School of Frontier Biosciences and Graduate School of Medicine, Osaka University
2Department of Otolaryngology-Head and Neck Surgery, Kyoto Prefectural University of Medicine

Stress fibers of Hela cell:
Antibody staining with Alexa Fluor 488 (green) for actin, Alexa Fluor 568 (red) for myosin heavy chain.
Image courtesy of: Keiju Kamijo,Ph.D. Division of Anatomy and Cell Biology, Faculty of Medicine, TOHOKU Medical and Pharmaceutical University

Fluorescent staining of microtubules (red: Alexa Fluor 594) and actin (green: Alexa Fluor 488) in growth cone of NG108 cells:
Image courtesy of: Dr.Kaoru Katoh, Biomedical Research Institute, National Institute of Advanced Industrial Sciences and Technology (AIST)
Fast Super Resolution Imaging and a Wide Field of View
Instead of scanning the entire field of view with a single beam, the sensitive imaging sensor on the SpinSR10 captures snapshots of the entire sample area in one step for fast imaging, enabling researchers to observe high-speed biological phenomena. In widefield and confocal mode, the microscope's optical system has a field number (FN) of 18 to capture images with a larger field of view, while two cameras enable users to simultaneously acquire dual-color super resolution images.

Real-Time Super Resolution
High speed data processing algorithms enable the viewing of super resolution images in a live display window. This allows for real-time viewing of cellular activities compared to other computational super resolution techniques in live cells.
Reduced Phototoxicity
The real time controller (U-RTCE) synchronizes the laser and camera with microsecond illumination accuracy to reduce photobleaching and phototoxicity, helping cells remain healthy during complex experiments.

Keep Your Samples in Focus
During time-lapse imaging, minute changes in temperature, humidity, and other factors can cause your sample to go out of focus. The Z-drift compensator (IX3-ZDC2) uses a low-phototoxicity infrared laser to identify the sample plane and adjust the focus for clear time-lapse images. The continuous autofocus function works with glass and plastic vessels.


See Inside Your Samples in Super Resolution
Observation at Depth
Users can clearly observe small individual structures not only on the surface of the sample, but also up to 100 microns deep within the sample.

Purkinje cells labeled with GFP:
XYZ image with confocal and super resolution image in different Z positions. Super resolution images are projected by Z (10 slices). 3D displayed by FV31S-DT.
Image data courtesy of: Michisuke Yuzaki, PhD.
Department of Physiology, School of Medicine, Keio University
Image Three-Dimensional Structures
Obtain detailed three-dimensional super resolution image data during time-lapse imaging.
Improved Z Resolution
Olympus silicone immersion objectives are designed for deep tissue observation. Observation depth is negatively impacted by spherical aberration caused by refractive index mismatch. The refractive index of silicone oil (ne=1.40) is close to that of living cells or cultured tissue slices (ne=1.38), enabling super resolution imaging of internal cellular structures at tens of micrometers in depth with minimal spherical aberration.

In deep tissue observation, image quality depends on keeping the refractive index of the sample and immersion medium as close to one another as possible. When working with a silicone immersion objective, the difference between the refractive index of the samples and silicone oil is minimal, achieving brighter fluorescence images with higher SNR.
Reduce Spherical Aberration
The remote correction collar unit is used to adjust the lens position within the objective to correct for spherical aberration caused by refractive index mismatch with ease. This results in dramatically improved signal, resolution, and contrast. The IX3-RCC unit works with any Olympus UIS2 objective that has a correction collar.

Optical Sectioning
Based on a confocal optical system, Olympus super resolution technology enables optical sectioning to acquire clear super resolution images with reduced background.

A Flexible System that Helps Simplify Your Research
Olympus cellSens image analysis software supports the complex experiments conducted with the IXplore SpinSR10 system. The software's efficient workflows enable users to effectively manage their data and perform advanced analysis that helps unlock new insights. The system integrates easily into existing protocols without necessitating major changes; labs can continue using their existing sample protocol and labeling systems.
Easily Switch Observation Methods
The software makes it easy for you to change observation conditions. Switch between fluorescence, confocal, super resolution, and multicolor imaging modes just by clicking a button.
Manage Complex Experiments
The process manager makes it simple to acquire multicolor, Z-stack, and time-lapse images. The programmable graphic experiment manager (GEM) enables users to design more complex automation from a visual interface to support a wide variety of experimental imaging protocols and device triggering. Customize flexible experiment protocols that can be easily changed as needed anytime during the imaging process.



Make Fine Adjustments
In super resolution imaging, the ability to make fine stage adjustments is critical. The highly accurate IX3-SSU ultrasonic stage is easy to use and can be controlled via software or the stage handle. The stage has a exhibits low thermal drift for reproducible multi-image acquisitions and stability during long term time-lapse experiments.

With new frame architecture and focus drive design, the IX3 system offers enhanced rigidity that reduces the impact of vibration and temperature. It maintains desired positions along the X, Y, and Z axes to facilitate reliable time-lapse and multipoint imaging.When combined with the Olympus IX3-SSU ultrasonic stage and Z drift compensator (IX3-ZDC2) , the system is perfectly suited for capturing high-precision, multipoint time-lapse images that are never out of focus or misaligned.
One System, Three Imaging Modes
Researchers can use the imaging mode that most suits their sample in a single system. Users can switch between widefield, confocal, and super resolution multicolor imaging with one click to locate areas of interest and then image fine structures.



Powerful, Intuitive Image Analysis
Olympus cellSens imaging software enables various types of numerical data to be extracted from images obtained using the software's image analysis functions. Straight line distance, boundary length, or the area of a polygon can all be measured. The following additional advanced measurements are also possible:
Analyze Object Information
Analyze information about objects in your images, including the number of objects, area measurement, luminosity, and morphology.



Discriminate Spectrum Overlaps
The colocalization function analyzes the fluorescent spectrum and discriminates between overlapping spectra.


Track Time-Lapse Imaging Data
During time-lapse imaging, the tracking function enables users to measure and analyze cell migration and division as well as luminosity.


bio-equip.cn